MAGNIFY
Strategic Research Centre
Cystic Fibrosis Trust & Cystic Fibrosis Foundation-funded research programme exploring the use of lung MRI in cystic fibrosisRead more about our work in this CF Trust article & listen to our appearance on the CForYourself podcast via this link (Series 2, Episode 5).
Latest news:
Read our study blog:
Contact us:
Help us understand how we can use lung MRI in CF
23/10/2025
What is the study about?MAGNIFY is a research study funded by the CF trust that aims to look at the lung health of a variety of people with Cystic Fibrosis over time. To do this, we would like to take detailed pictures of the lungs using a type of clinical scan called Magnetic Resonance Imaging (MRI), which is able to detect small changes in the lungs when a special gas called Xenon is inhaled. It has been shown that these pictures are much better than the current breathing tests used in clinic to measure changes in the lungs.We would like to use these pictures to find out how well the new medicines in Cystic Fibrosis treat lung disease and ensure that when treatment becomes available for those who cannot take the new medicines, we are able to accurately measure any changes in the lungs following treatment. As well as the MRI scan, participants will be asked to perform a selection of breathing tests to access whether some breathing tests are able to better monitor lung disease in CF than what is currently used in clinic.
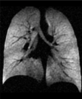
Here is an example of the pictures we can take of the lungs!
We can take these pictures frequently as an MRI scan does not involve any ionising radiation, so it is completely safe to perform lots of times. It can also tell us whereabouts in the lung the problem is, helping to guide doctors and treatment. We have been performing these types of MRI scans in Sheffield for over 10 years, scanning both children and adults with many different lung conditions.Can I get involved?If you have Cystic Fibrosis and are over the age of 5 years you may be eligible to take part.We are looking for:• Adults and children (+5 years) who are not taking modulators (such as Kaftrio) or have not been able to tolerate them.Where will testing take place?The research study will take place at The University of Sheffield, Royal Hallamshire Hospital, Sheffield, UK.
Here is a picture of our MRI scanner in Sheffield
What will I be asked to do?You will be asked to attend 3 study visits over a period of 3 years, approximately 6-12 months apart depending on your study group. Visits will last approximately 3 hours, during which you will be required to have an MRI scan that last approximately 45 minutes and perform and selection of breathing tests. The breathing tests included in the study are multiple breath washout, oscillometry, spirometry and body plethysmography. All the breathing tests are easy to perform and mostly involve normal relaxed breathing. Reasonable travel expenses will be reimbursed for these visits, and a £20 gift voucher will be provided as a thank you for your time and effort.For more information about the MRI scan and what each of these breathing tests entail please contact our research team for an age specific information sheet.
Next stepsIf you require further information or wish to get involved in the study, then please get in touch with our research team via email or telephone.
Telephone: 0114 2159595
Email: [email protected]
Research interviews: Thank you for your support
08/05/2026
We’ve now collected the data we needed from the research interviews to finalise our toolkit to help support the communication of lung MRI scan results! A huge thank you for all the support and interest - the toolkit will be live very soon!

Welcome to ‘In Focus’, the blog for the MAGNIFY Strategic Research Centre. MAGNIFY is a research programme funded by the Cystic Fibrosis Trust and Cystic Fibrosis Foundation.All of our blogs are available below:Blog 1: December 2025
Blog 2: May 2026

From left to right: Jonathan, Demi, Yves & Dan
InFocus Blog 1: December 2025
03/12/2025
Welcome!In this first blog, we explain more about MAGNIFY, our students & presenting our work at the recent UK CF Conference!What is MAGNIFY?MAGNIFY is a research programme looking at how we can develop the use of lung magnetic resonance imaging (MRI) in cystic fibrosis (CF). MRI is able to provide us with detailed information about the lungs which we think could be really useful in the management and monitoring of CF. It can help us spot problems earlier than lung function tests, and pinpoint where in the lungs these are.We call it a ‘programme’ as it is made up of 4 separate projects, each led by a different PhD student and supervised by other members of our team. Our first student started in October 2023 and our most recent in March 2025. Our team work at the University of Sheffield, University of Nottingham and University of Manchester.You can read more about MAGNIFY in an article written by the CF Trust here.What is MRI?Magnetic resonance imaging or MRI, is a type of medical scan that can visualise the internal structures of our bodies. The experience is similar to having an X-ray or CT scan, though MRI scans do not require radiation to obtain the images.The scanner uses magnets and the water we all have in our bodies to create pictures. It is harder to scan the lungs as they also contain lots of air, which appears black in an MRI image. This means good picture quality used to be difficult to achieve. However, there are lots of new techniques being developed so that lung MRI can now provide very detailed pictures.

An MRI scanner at the University of Sheffield
Who are our students & what are they working on?Yves
Developing and disseminating lung MRI methods – University of SheffieldIn MAGNIFY, we are particularly interested in the information we can get from gas MRI. This is where patients breathe in a harmless gas called xenon which is specially magnetised, or ‘hyperpolarised’. This involves processing the gas through a machine called a polariser. The gas then shows up brightly on the scans and helps us understand how well the lungs are working. However, gas MRI requires resources not available to all CF centres and can be difficult to undertake on young children. Yves will further develop scans that use hyperpolarised gas, as well as scans that don’t need gas, and develop a software package to process them. Her work will help more healthcare professionals better use and understand MRI.Yves started her PhD in October 2024.Demi
Developing lung MRI as an assessment tool in research – University of SheffieldNew treatments are tested in research trials using different outcome measures. For example, researchers might look at whether someone’s lung function improves after treatment. However, trials often require lots of people to take part, meaning they take a long time and cost a lot of money. MRI could be a good alternative measure as the detail it provides may mean less people need to take part in trials to find out. Demi is scanning lots of people with CF to investigate how we might be able to use MRI in this way.Demi started her PhD in March 2025.Dan
Developing a toolkit to support communication of lung MRI results – University of NottinghamAlthough lung MRI provides detailed images, it’s also important people can understand the results. Dan is developing an online toolkit with different resources about lung MRI. This will help healthcare professionals and people with CF (pwCF) and their families talk about the results. It will also help them understand what MRI can show and how it is different from their usual tests. To do this, Dan is talking to pwCF, carers and healthcare professionals to better understand their thoughts on lung imaging.Dan started his PhD in October 2023.Jonathan
Using MRI to develop a computer model to show how inhaled drugs move through the lungs in CF - University of ManchesterInhaled drugs are important in CF, but we don't know a lot about how drug particles move through the airways and where they land (deposit) inside the lungs.When some parts of the lungs are damaged in CF, this can change how air moves through other parts of the lung as well, and affect how drugs deposit.Jonathan is developing computer models that use gas MRI to look at how CF affects this process. These can be used to test how well new inhaled drugs reach different areas of the lung.Jonathan started his PhD in January 2024.

Jonathan presenting at UKCFC 2025
UK CF Conference 2025We were thrilled to have the opportunity to present about our research at the recent UK CF Conference (UKCFC) in London, organised by the CF Trust. There were lots of presentations and posters covering all the different types of research taking place in CF. We each had the opportunity to give a 90 second 'flash talk' and display a poster about our work. These are our highlights from the event:Yves: "I loved that at the CFT conference the research taking place was so multidisciplinary yet all with the same goal in mind. It was so interesting to see how everyone's research fits together in the bigger picture of CF."Demi: "It was inspiring to hear about all the amazing research that is happening in CF. I felt like I was a part of something really special. I enjoyed sharing my work and what I am passionate about with others who are equally as passionate about research."Dan: "I really enjoyed speaking to people about my research at the conference. It meant a lot for people to come up to me and show an interest in what I was doing. It made me realise that I've made quite a bit of progress in the last two years!"Jonathan: "I had a great time at the CF Trust conference! It was really motivating to have people interested in the work we're doing, and having our own little MAGNIFY corner at the poster exhibition was great for showing everyone how the different pieces of the wider project fit together."Thanks for reading our first blog – we look forward to sharing more about MAGNIFY in the next edition!

From left to right: Yves, Demi, Dan & Jonathan
InFocus Blog 2: May 2026
28/05/2026
Welcome!As we reach the end of cystic fibrosis (CF) awareness month and the beginning of CF Week in the UK, we thought this would be an ideal time for our next blog! InFocus covers our work on the MAGNIFY research programme, looking at the use of lung magnetic resonance imaging (MRI) in CF.In this edition, we’ll provide an update on our PhD student projects and on events we have and will be attending.
What have our students been doing since the last blog?Yves
Developing and disseminating lung MRI methods – University of SheffieldThe main focus of this year has revolved around peoples' airways. In particular, comparing the airways of people with no lung damage to the airways of people with CF. This has been super interesting because I’ve had to develop and refine the technique itself before using it on the data.We can take structural MRI scans, colour in any visible airways and take measurements to summarise the size and shape of each branch. We can assess this at two points (or more in the future!) of the breathing cycle - the end of exhaling and the end of inhaling. We can therefore look at the change in size and shape during a normal breath and pinpoint any ‘abnormalities’ and where they are in the lung. We then want to know if these abnormalities match up with the location of ventilation defects found in Xenon MRI images.Demi
Developing lung MRI as an assessment tool in research – University of SheffieldI have been carrying out lung function testing and supporting the acquisition of Xenon MRI scans from adults and children with CF. I am currently analysing data from adults who took part in research at Sheffield over 5 years ago, prior to starting modulator therapies. We are comparing the lung function of participants now and from before they started modulators. To do this we are using lung function testing and Xenon MRI scans.We would like to see how lung function has changed in people with CF over time and from a pre-modulator to a post-modulator era. I have presented this work at ‘The Association for Respiratory Technology & Physiology (ARTP)’ conference in May 2026. I am also starting to analyse the pulmonary function data and Xenon MRI scans from children with CF on modulator therapy. I will use this data to assess what lung health looks like in this group of participants.Dan
Developing a toolkit to support communication of lung MRI results – University of NottinghamThis year has been focused on testing and refining our communication toolkit. This has been developed with people with CF (pwCF), carers, healthcare professionals and researchers. The toolkit has a number of resources to help support the communication of lung MRI results in CF. We tested the resources in research interviews with pwCF, carers and healthcare professionals.In these, participants were asked to ‘think aloud’, telling me what they were thinking as they looked through each resource. We had some really useful feedback to help us develop the resources further, though it was also pleasing for them to be received so positively. The resources have been finalised and the toolkit is now live here!Jonathan
Using MRI to develop a computer model to show how inhaled drugs move through the lungs in CF - University of ManchesterThis year, I've been working on building computer models of the lungs that mimic how CF lungs breathe. This is challenging because everyone's lungs are so different. You have to estimate how CF affects each person's lungs individually.We recently developed a way to do this, using MRI images to tell us which airways to block in our model lungs, and by how much. This turned out to be a much tougher maths problem than we first thought! Now that we can build these model lungs "with CF", we can look at how inhaled drugs move differently through them.

Demi, Jonathan & Dan at the Eiffel Tower during their visit to France in February
European CF Young Investigator Meeting (EYIM) & European CF Society Conference (ECFS)Having the opportunity to attend conferences and events is a privilege for us as researchers. It’s great to be able to communicate what we’ve been up to and connect with peers working in CF.From Paris...Dan, Demi & Jonathan were invited to attend the EYIM in February in Paris to present on their different projects. This was a meeting of early career CF researchers from across Europe, and organised by CF Europe. CF Europe is the umbrella organisation for the CF community organisations across Europe. It was great to make new connections and to hear about all the different work taking place. There was also a very interesting workshop on the use of AI in research and a talk given by a person with CF. This was very moving, as they spoke about the positive impact modulator therapy had made to their life.The meeting took place over a few days and, although there was a very busy agenda, we were fortunate enough to have a bit of time to explore the sights in Paris! Thank you for the invite and to Vaincre la Mucoviscidose (the French CF community organisation) for hosting us....to Lisbon!Next week is ECFS, which is one of the largest CF conferences in the world. It will be taking place in the Portuguese city of Lisbon and all of our students have had their research accepted for presentation at the event. Dan, Demi & Jonathan will all have posters at the event, and Yves has had an oral presentation accepted (a very impressive feat!). This will be a great opportunity to connect with CF researchers and healthcare professionals from across the globe. We look forward to spreading the word about our work in lung MRI!Thanks for reading – we look forward to sharing more about MAGNIFY in the next edition!













